
People with diabetes who have nerve damage in the feet may develop bone injuries without realizing it. Reduced sensation can prevent pain signals from warning that a bone is under too much stress. Small cracks in the bones of the foot may form gradually from everyday walking or minor changes in activity. Swelling, warmth, or redness may be the only visible signs, and these are sometimes mistaken for skin or circulation problems. Normal daily activity often continues because pain is absent, allowing the injury to progress unnoticed. Over time, untreated bone stress injuries can lead to collapse of the foot structure or long-term mobility problems. Regular foot checks and early evaluation of swelling or shape changes are essential for prevention. Awareness is especially important for those with long-standing diabetes. If unexplained swelling, warmth, or foot changes appear, it is suggested that you see a podiatrist for a proper diagnosis and appropriate treatment.
Activities where too much pressure is put on the feet can cause stress fractures. To learn more, contact one of our podiatrists from Arizona Foot & Ankle Specialists. Our doctors can provide the care you need to keep your pain free and on your feet.
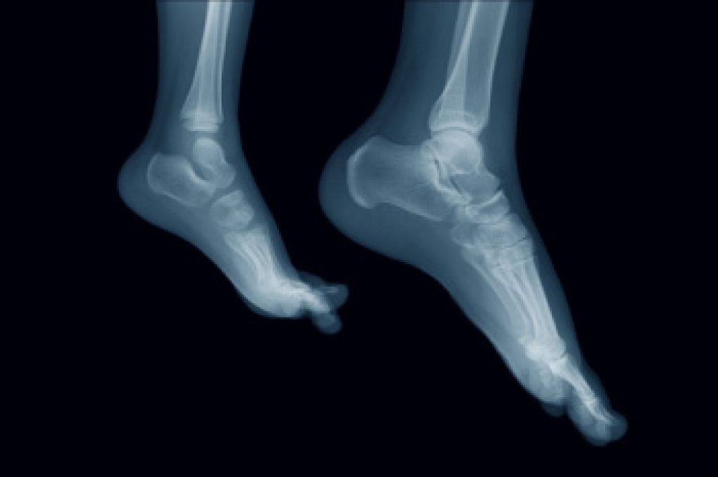
Dealing with Stress Fractures of the Foot and Ankle
Stress fractures occur in the foot and ankle when muscles in these areas weaken from too much or too little use. The feet and ankles then lose support when walking or running from the impact of the ground. Since there is no protection, the bones receive the full impact of each step. Stress on the feet can cause cracks to form in the bones, thus creating stress fractures.
What Are Stress Fractures?
Stress fractures occur frequently in individuals whose daily activities cause great impact on the feet and ankles. Stress factors are most common among:
- Runners
- People affected with Osteoporosis
- Tennis or basketball players
- Gymnasts
- High impact workouts
Symptoms
Pain from the fractures occur in the area of the fractures and can be constant or intermittent. It will often cause sharp or dull pain with swelling and tenderness. Engaging in any kind of activity which involves high impact will aggravate pain.
If you have any questions please contact our office located in Goodyear, AZ . We offer the newest diagnostic and treatment technologies for all your foot and ankle needs.



